I love nights like tonight. When it’s a little drizzly out and seems darker than it should be, and you open the window so that a bit of cool air creeps in while you’re snuggled under the blanket with the cat and the dog and a book and tea. Today is one of those days where I really don’t mind my limited mobility; in fact, were I not immobilized I might feel a little guilty. As it is I feel happily calm.
I am 16 days post-op and had my two week follow-up with my surgeon this past Tuesday.
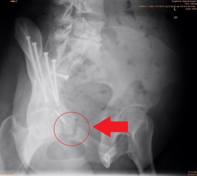
Two-week follow-ups are less about checking angles or taking x-rays and more about making sure your pain is under control and that you are doing OK. I had all of the Steri-Strips removed from the incision, had the incision cleaned, and had a few placed back on to make sure that the stitches hold permanently. I was happy to learn that I no longer had to wear my DVT compression socks 24/7 (i peeled them off 15 feet from the office door) and could send my CPM machine back as I am mobile enough not to need it anymore (it was picked up earlier today).
This recovery has been going extremely well, my pain managed by Tylenol, and my surgeon was pleasantly surprised at how well I was doing. I mentioned that when I stopped my narcotic medication and switched to OTC meds, I had some unpleasant withdrawal symptoms including extreme irritability, insomnia, and two days of crying for seemingly no reason (must remember for future reference to avoid this medication). I explained how the pain in my left side is more of a deep muscle ache that is always noticeable but not severe or excruciating. The pain on the right side, the side in which I had the PAO surgery in December, is actually where I noticed the more striking and alarming pains. We had previously discussed, before the second surgery, that this would likely be the case . The right side still has problems though the extent is not yet clear. My doctor noted there is always a chance, unfortunately, that once one problem is fixed, another may become unmasked. For example, it’s possible that once the dysplasia in my right side was fixed with the December PAO surgery, impingement may have been unmasked and that may be causing the pain I continue to have in the right side. Similarly, it is possible that, now that the impingement on my left side has been repaired with the SDD surgery, the dysplasia related to my acetabular retroversion may become more prominent.
That said, neither my surgeon nor I are of the opinion that we need to rush to make any decisions, one way or another, on the effectiveness of either of my surgeries to date. These decisions can wait several months, until I am well into my physical therapy and have a better idea of how I’m doing.
As you can imagine, I am hopeful that I am finished with surgeries and that physical therapy will help take me to the finish line in terms of recovery. My next follow-up appointment is scheduled for mid June, at which point my surgeon will take x-rays of my left leg and hip to determine if the trochanter osteotomy he performed is healed and whether I can stop using crutches.
I’m happy to be back working remotely from my home. I like the structure it provides, requiring me to get up at a particular hour and having tasks to complete. I also really enjoy what I do and so it was almost a relief to be able to get back to it. I’ve gone out to a couple meals and to my surprise had no trouble sitting on a booth or on an un-cushioned chair. This is dramatically different than the last surgery and a welcome change. I am hopeful that I’ll be able to get back to law school in the fall, though that will depend on my recovery, any further surgeries I may need, and making sure that I have a safe balance between my work/school/recovery and personal lives. I figure I’ll know more about my Master Plan in a few months.
In the meantime, I hope you all have a lovely long Memorial Day weekend, whether you are enjoying the outdoors or snuggled under a blanket next to a cool breeze













